Radiografías Dentales
Somos un Centro Radiológico Dental de dedicación exclusiva com más de 15 años de experiencia.
Contamos con equipos de alta tecnología y con profesionales de gran capacidad, nuestro objetivo es entregar un servicio de calidad y un excelente atención a nuestros clientes.
Ve como llegar y conoce nuestros equipos
Qué es una Radiografía Dental
Las Radiografía dental es una herramienta fundamental para el diagnostico de las lesiones de la cavidad oral, ya sean de la estructura ósea o caries.
Son fundamentales para el correcto diagnostico por parte del dentista, ya que permite una rápida y efectiva detección de los problemas que el paciente puede tener en la boca, evitando así retrasos innecesarios en el diagnóstico y tratamiento.
Informes
La interpretación radiográfica es una parte importante de un estudio imagenológico debido a que la información que se recopila queda guardada de manera textual, por eso contamos con dos radiologas para prepararlos en caso que tu odontologo lo solicite.
¿Qué Radiografía Necesitas?
Tomamos la radiografía que tu necesitas con una flexibilidad en los horarios, porque en Solorayos valoramos tu tiempo, olvídate de las esperas por orden de llegada, reserva tu hora y aprovecha tu tiempo, además te entregamos una impresión de tu radiografía en una película radiológica de alta calidad para que la tengas en cualquier lugar y en todas partes, o si prefieres almacenada en un CD o se la enviamos al email de tu Odontólogo.

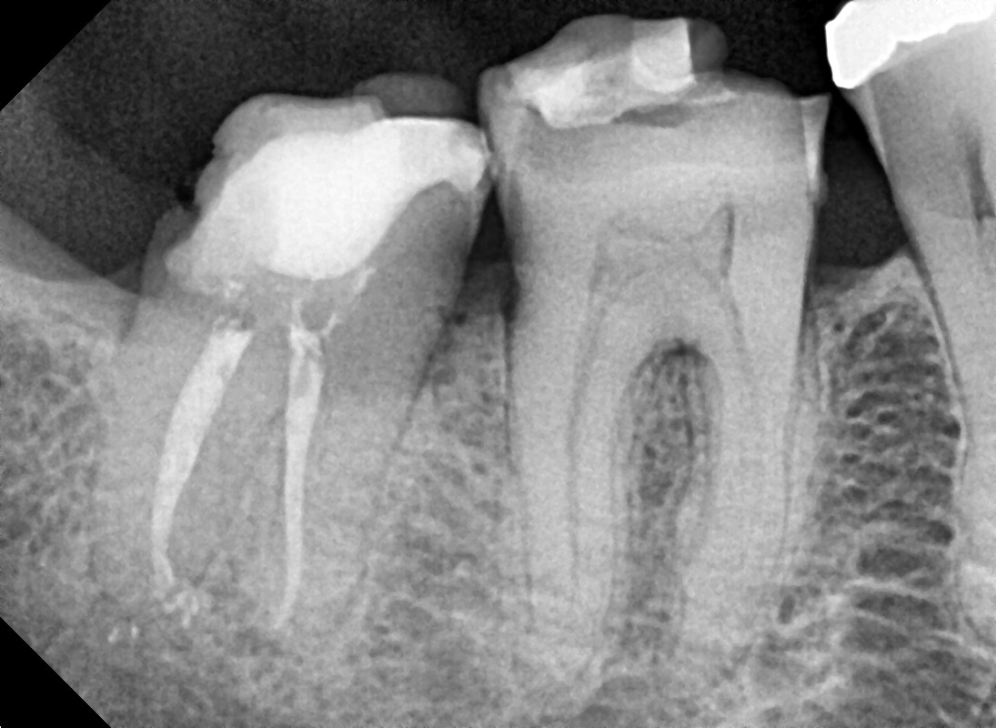
Rx Retroalveolar o Periapical
La radiografía retroalveolar es también llamada periapical y es muy útil para enfocarse en una zona determinada, porque permite evaluar en detalle el estado de dos o tres piezas dentarias

Radiografía Panorámica
Las Rx. Panorámicas requieren una máquina especial que rota alrededor de la cabeza. La radiografía captura los maxilares y los dientes completos en una sola toma. Se utiliza para planear un tratamiento para implantes dentales, verificar si hay muelas de juicio impactadas y detectar problemas mandibulares.

Cone Beam
El Cone beam o CBCT (Cone Beam Computed Tomography), llamado también tomografía volumétrica digital de haz cónico, es una técnica de imagen seccional en 3D en pleno auge. Permite el examen de tejidos calcificados, a saber, el hueso y los dientes.
En Cone Beam se les solicita a los pacientes que necesitan o desean colocarse implantes dentales. El estudio es básico para que el peridoncista pueda establecer un plan de tratamiento y una guía para la cirugía.
Quienes Somos
Solorayos es un Centro Radiológico Dental, estamos exclusivamente dedicados a la toma de radiografías, dando la mayor seguridad y confianza a los dentistas que prefieren nuestros servicios.
Tenemos 15 años de experiencia, en los cuales siempre hemos dado prioridad a las necesidades de nuestros pacientes, lo que se nota en la rapidez de toma de las radiografías y respeto a las horas asignadas.
Contamos con un Staff de Radiólogos que elaboran los informes solicitados, equipos de última generación y todos los implementos de protección radiológica para tu mayor seguridad.
Contáctanos Ahora
Leemos cada mensaje que nos llega.
Si quieres pedir una hora, tienes consultas, sugerencias mándanos un mensaje ¡Te contestaremos lo más rápido posible!